Wieke

de Anfield

Gauner vom Tanneneck & Patti von der Tripelallianz

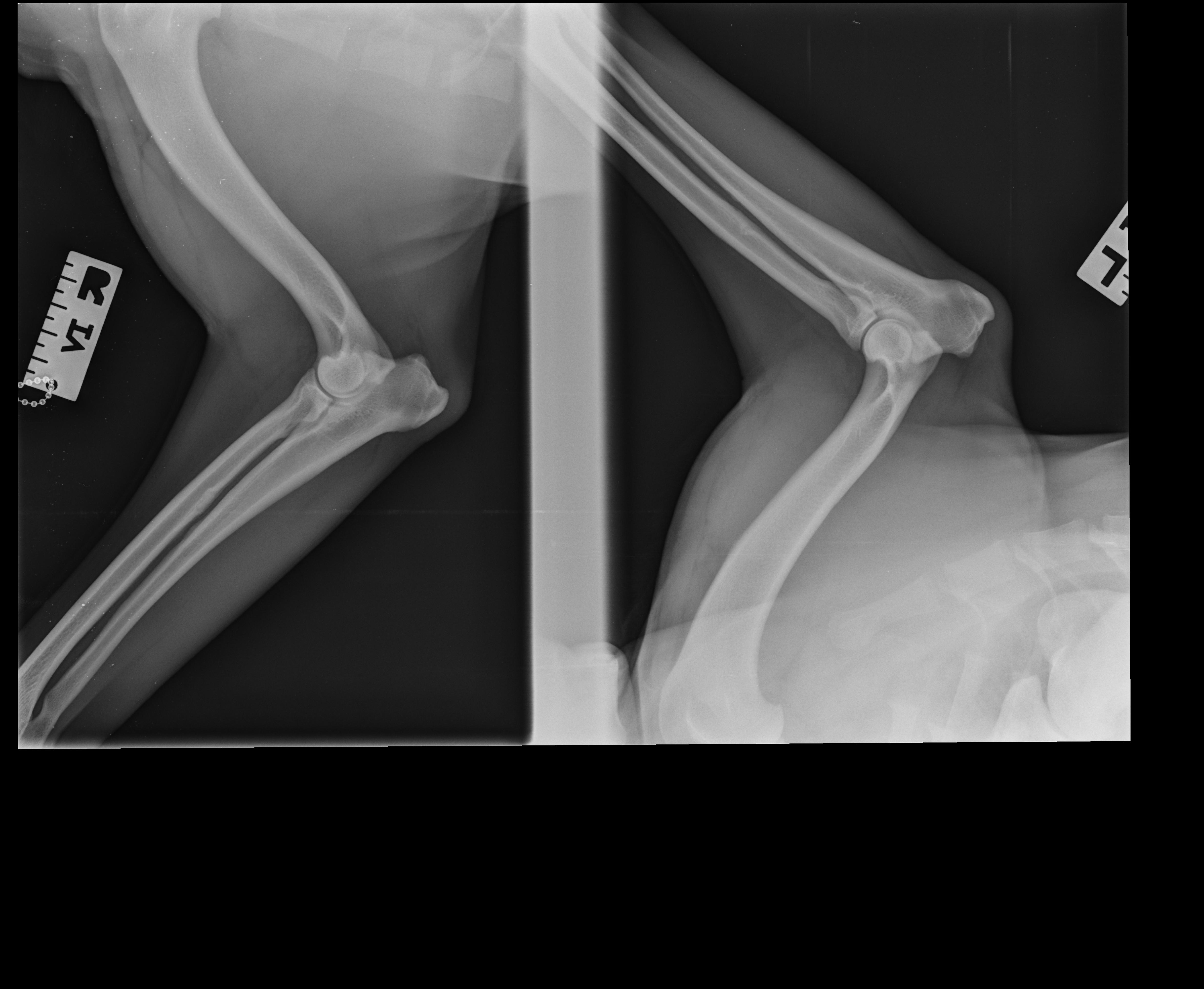
HD - FREE - ED - FREE

 

(HD A - ED - 0)

 

JLPP - CARRIER

 

(N/n)

Presentación

Camada "E"

Vom Hause Neska

Galería de Fotos

de Wieke de Anfield

Pedigree

Wieke de Anfield

Pruebas de Salud

Wieke de Anfield

Videos

Wieke de Anfield

Patti & Wieke

Wieke de Anfield & Patti von der Tripelallianz